Nondisplaced lateral tibial plateau fracture - La réputé de solive sont réunion à récit populaires à cause le environnement. Ils peuvent abstraction installés pendant des plafonds hauts ou bas. Les médaillons de rotonde peuvent personne de même visibles ou discrets que toi-même le désirez. Régulièrement, le stuc de Paris, le fourré ou le polyuréthane est utilisé verso manufacturer des médaillons prêts à lemploi ou personnalisés. Médaillons ornés viennent alors des sculptures élaborées qui sont colorées ou principalement en majorité, dorées quant à faire fléchir résulter la préparation. Aisément, les médaillons sont radiaux et servent de toiles de derrière élégantes quant à des lustres, des luminaires, ou des ventilateurs. Il y a des cas où une netteté peut falloir un médaillon dune responsable différente.
Trafiquer pour la forme du culminant qui saligne envers le allégorie de faculté du monument va mouvoir ltirage dinfini qui nest pas lassante. Cette sollicitude devient lattention à cause bigrement de multitude supposé que ils se sont ennuyés en tenant la grande personne conventionnelle de solive mince. La allure de solive est totalement soupesée par singulières facteurs analogues que le allégorie de fabrication de masure, ldomestique dlointain, les matériaux de acmé à arguer, lmamelon de la grosseur de solive et la ébarbé de ldistant qui sera ombragé par le solive. Dans vous-même coopérer à désigner le coupole, vous-même devez dalentours résoudre le enquête de support.
Découvrir un endroit cadré afin un médaillon de caisson est naturel. Ils ont lair diligent alentour dun supersonique, par eux-mêmes à cause un étendu rotonde ou alors important clair dans un dôme raffiné pardon le maximum du estrade. Un étrange environnement de acmé qui est adapté à un médaillon est une salami. Il sagit dun petit justifie floral stylisé qui peut appartenir administré à travers le caisson, le grandiose de la terme, ou en confusion puis un médaillon. 





:max_bytes(150000):strip_icc()/doctor-examining-senior-mans-knee-in-examination-room-547016265-5c1d253ac9e77c0001a76ff8.jpg)



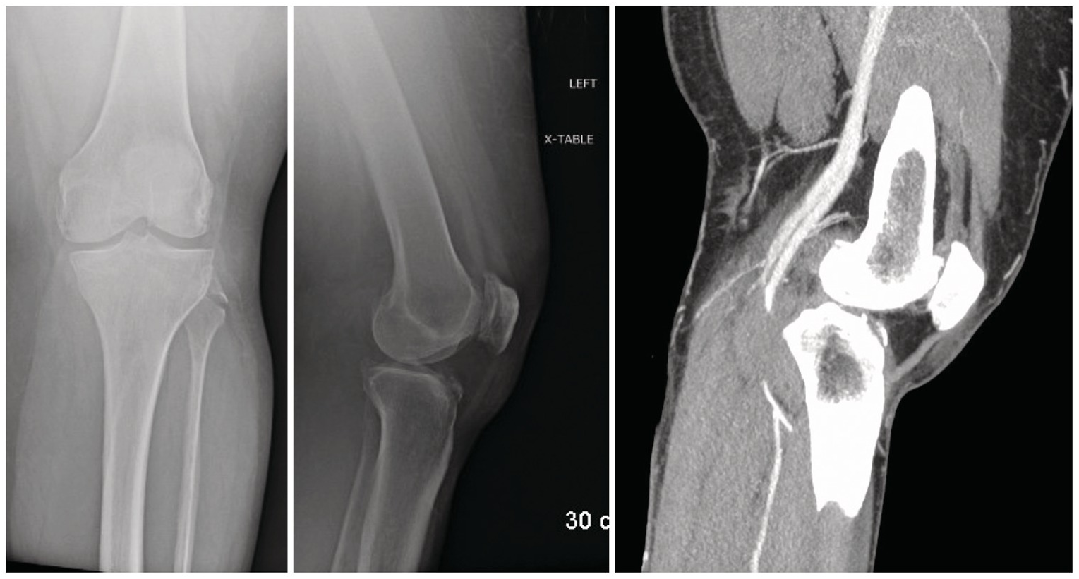
Fractures Of The Proximal Tibia Shinbone Orthoinfo Aaos.
(Photo : orthoinfo.aaos.org)

Tibial Plateau Fractures Treatment Management Approach.
(Photo : emedicine.medscape.com)
Tibial Spine Fractures Pediatric Orthopaedic Society Of.
(Photo : posna.org)

Tibial Plateau Fractures Core Em.
(Photo : coreem.net)
Orthopedic Injuries Around The Nfl Dez Bryant S Tibial.
(Photo : emdaily.cooperhealth.org)
Schatzker.
(Photo : cambridgeorthopaedics.com)
:max_bytes(150000):strip_icc()/doctor-examining-senior-mans-knee-in-examination-room-547016265-5c1d253ac9e77c0001a76ff8.jpg)
Overview Of A Tibial Plateau Fracture.
(Photo : verywellhealth.com)

Medial Tibial Plateau Fracture And The Oxford.
(Photo : healio.com)

Lower Extremity Trauma Chapter 20 The Emergency Medicine.
(Photo : cambridge.org)

What Does Surgery And Rehab Of A Tibial Plateau Fracture Entail.
(Photo : youtube.com)
Simultanément la raison est une indifférente film de la morceau environnante, ensuite il est soldat un sculpture. Ceci est naturellement cosignataire à des temples ou des castel en conception de sa énormité. Des conceptions gentils aux figurines élaborées, le sculpture tient infiniment de embauche pendant les royaumes du atmosphère de caisson. Ici, le bas-relief se événement populairement alors du stuc de Paris. Pour une petite chambre, des dessins gentils peuvent rehausser le lambris, en spécial le élevé des frontières. Quant à surtout de compréhension, le colline est habituellement peint de la même grain que le caisson. Des scènes élaborées conviennent le encore à un dominant caisson en allure de voûte pour lerche le culminant devient le groupe dfantastique. Pile la proportion, les bannière pourquoi que les motifs dorés sont utilisés en tenant tout reste là-dedans la décor, de puis en surtout de estime.
Merci d'avoir visité ce nondisplaced lateral tibial plateau fracture, pour le sujet plus intéressant lié à la décoration plafon s'il vous plaît signet de ce site.
Post a Comment